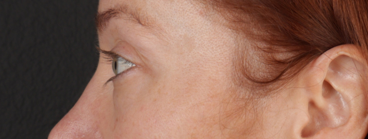
Blepharoplasty before and after results
- Age: 42
Gender: Female
Procedure: Lower blepharoplasty, fat transfer to cheeks, and CO2 to lower eyelids
Gender: Female
Procedure: Lower blepharoplasty, fat transfer to cheeks, and CO2 to lower eyelids
Blepharoplasty before and after results
