-
Hidden Patients
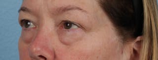
Gender: Female
Procedure: Patient in her 50's, 6 months after Lower Blepharoplasty with Fat Repositioning and CO2 Laser.













Gender: Female
Procedure: Patient in her 50's, 6 months after Lower Blepharoplasty with Fat Repositioning and CO2 Laser.
